Thank you to our patients that have allowed us to show examples of our work
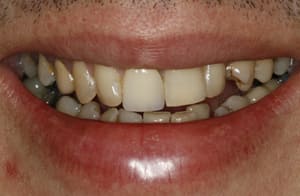
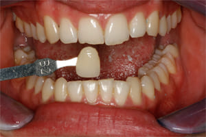
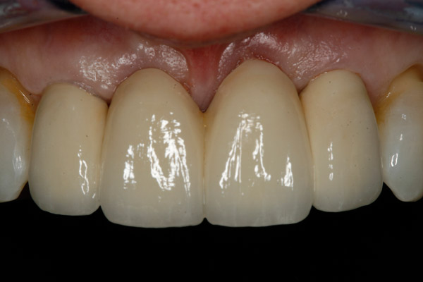
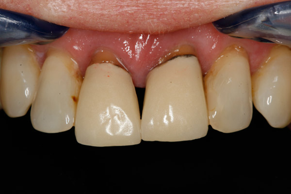
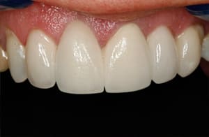
Have a look at just some of the many patient examples we have captured from BEFORE and AFTER their treatments and cosmetic surgeries.
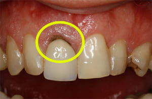
From Whitening to Veneers, Fillings to Cosmetic Teeth Makeovers, here are some examples of the work that Dr. Dadabhai has provided to his patients to give them a more confident smile and a positive, pain free feeling.
So Many Ways To Achieve The Perfect Smile
Much of the work we carry out is to relieve pain and of course maintain the health of your teeth and gums, but many of our patients now ask for Cosmetic work to give them a more confident smile.
Cosmetic support has improved hugely over the last few years. Book a Consultation with Dr Dadabhai and he will prescribe a course of treatment to complete your perfect SMILE transformation.
Slide your computer mouse or finger (touch screens) over the image to view BEFORE and AFTER comparison.




































